Bodrogi Attila DDS Bespoke Smile

EDUCATION - IMPLANT/SURGICAL

Bodrogi

IMPLANT/SURGICAL

LEVEL S1

BASICS OF IMPLANTOLOGY


LECTURE TOPICS

  • Anatomy
  • Bone types
  • Soft tissue
  • Suturing techniques
  • Planning, CBCT analysis
  • Osteotomy
  • Implant design
  • Osseo-integration
  • Basic uncovery techniques

HANDS-ON:

1. Implant placement
2. Suturing exercise on pig jaw / bone-soft tissue model

LEVEL S2

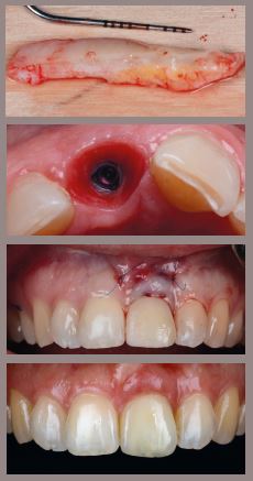
IMMEDIATE IMPLANT PLACEMENT STRATEGIES


LECTURE TOPICS

  • The biologic envelop of extraction site
  • Socket type classifications
  • CBCT analysis for predictable immediate approach
  • Atraumatic extraction techniques
  • Timing ( immediate, delayed I.-II., late)
  • The predictable 3D implant position
  • Implant design for immediate placement
  • Immediate loading or temporisation ?
  • The role of prosthetic seal
  • Surgical Veneer Graft
  • Other grafting and membrane considerations

HANDS-ON:

1. Implant placement into various extraction sockets on high-quality bone
model
2. Grafting techniques for socket repair on pig jaw / model

LEVEL S3

IMPLANT PROSTHETICS AND SOFT TISSUE SHAPING


LECTURE TOPICS

  • Peri-implant biology
  • Bone level vs Tissue level implants?
  • Importance of healing abutment design and uncovery techniques
  • Evidence -based biocompatible materials in prosthetics
  • Temporary solutions (immediate or delayed?)
  • Screw retained vs cemented solution?
  • Submergence design for tissue health
  • Restoration Driven Tissue Regeneration (RDTR)
  • Umbrella Concept
  • Capturing submergence tissue profile for final restoration
  • Digital workflow in implant prosthetics

HANDS-ON:

1. Fabrication of individual healing cap
2. Fabrication of temporary for proper tissue shaping on model
3. Critical and subcritical contour modelling

LEVEL S4

CRITICAL SOFT TISSUE GRAFTING


LECTURE TOPICS

  • Tissue biology and gingiva phenotypes
  • Zero Bone Loss Concept
  • Ridge augmentation by Tissue Grafting
  • Flap designs and harvesting techniques
  • Mastering Suturing (micro-sutures)
  • Root coverage: Flap, Tunnel, VISTA ?
  • Gold Standard (CTG) or Allograft ?

HANDS-ON:

1. Harvesting and suturing exercise on pig jaw / soft tissue model
2. Ridge augmentation (Roll- technique, inlay-, onlay graft)
3. Root coverage

LEVEL S5

CONTEMPORARY BONE GRAFTING


LECTURE TOPICS

  • Implant site anatomy and evaluation
  • Grafting materials (Autologous, Xeno-, Allograft…)
  • Membrane selection and fixation techniques
  • Bone harvesting techniques
  • Flap design and suturing
  • Bioactive modifiers, sticky-bone
  • Socket grafting
  • Vertical and horizontal GBR
  • Veneer Grafting
  • Post op protocol, medication

HANDS-ON:

1. Socket grafting, Ice-cone techniques
2. Vertical augmentation and membrane fixation
3. Flap designs and tension-free suturing

LEVEL S6

TISSUE PRESERVATION TECHNIQUES
IN IMPLANT DENTISTRY


LECTURE TOPICS

  • The biology of the extraction site
  • Preservation vs reconstruction ?
  • Atraumatic extraction
  • The role of implant position in tissue preservation
  • Novel techniques: Partial Extraction Therapy and variations
  • Special instrumentation ?
  • Bioactive modifiers (PRF)
  • DTR technique as Tissue Preservation approach

HANDS-ON:

Socket Shield step by step on special model

LEVEL S7

PERIOPLASTIC ESTHETIC SURGERY


LECTURE TOPICS

  • Biologic considerations
  • Root coverage techniques
  • VISTA approach
  • Papilla preservation and regeneration
  • Gummy Smile
  • Crown lengthening, biologic width
  • Guided osteotomy
  • Hypermobile Lip Repositioning

HANDS-ON:

1. Various flap design and micro-suturing techniques
2. Osteotomy for crown lengthening

LEVEL S8

THE 6-DAY CLINICAL MASTERS PROGRAM WITH
NYU CERTIFICATE


THIS HANDS-ON CLINICAL MASTER’S PROGRAM is a unique certification program that consists of Six Handson Courses in Implant Dentistry, under direct instruction by internationally recognized Dr.Bodrogi as educator and clinician in the most critical surgical and prosthetic techniques aimed at enabling clinicians to provide the highest level of implant therapy on a daily basis.
Bodrogi Institute is an Accredited and Certified DenatlXP Training Centre entitled to deliver the same certificate program without travelling to and staying at the US.
Doctors can complete the six courses in one week, or take the required courses one by one at our education center at their own pace.

 

ESTHETICS COURSES >>

All images on the web site are property of Dr. Attila Bodrogi and any copying of images and infringement of copyright is strictly forbidden.
Fizetési feltételek | www.bodrogi.com